近日,附属天府医院心胸外科团队成功为一位25岁小伙成功修复重建粉碎肩关节。

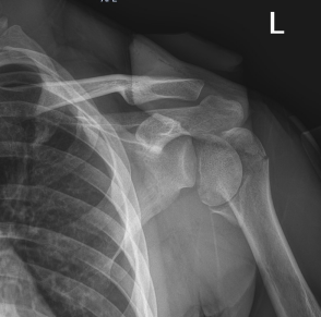
小李(化名)因骑车时不慎摔倒,左肩部着地,当即感到剧痛、肩关节畸形、无法活动。家人紧急将其送至西南医科大学附属天府医院急诊。影像学检查结果显示:肱骨近端碎成了4大块,肱骨头完全劈裂,翻转180°,卡在关节腔内,同时合并肩关节脱位。这一罕见而复杂的损伤,加之患者年轻,对肩关节功能恢复要求极高,治疗难度极大。
面对这一情况,附属天府医院骨科立即启动多学科会诊,并邀请西南医科大学附属医院创伤专家阳运康教授前来指导。
团队在仔细分析三维CT重建影像后,反复模拟手术路径,最终决定为小李实施切开复位Philos钢板内固定术,力求在彻底复位翻转肱骨头的同时,最大程度保护血液供应,重建肩关节功能。
术中,阳教授凭借丰富经验和精准操作,巧妙显露翻转的肱骨头。利用残余的软组织合页,精细牵引、撬拨,将翻转了180°的肱骨头缓缓复位至解剖位置,同时复位大结节、小结节骨块,并通过肱骨距螺钉技术实现坚强内固定,为术后早期功能锻炼创造了条件,最终手术顺利完成。
术后复查显示,小李的骨折端对位对线良好,内固定稳固。术后第二天,即开始被动功能锻炼,逐步过渡到主动训练。从术前因疼痛完全无法活动,到术后一周可以抬肩90°以上,恢复进程令人鼓舞。